ORTHODONTIC TREATMENTS
Early Interceptive Treatment
When it comes to teeth, we can set things straight
Early Interceptive Treatment
Interceptive orthodontics is an approach that uses phased treatments to manipulate the growth and correct developmental occlusion problems.
Interceptive orthodontic treatment (also known as Phase-One or Early Treatment) typically begins around age eight or nine. The goal of early treatment is to correct the growth of the jaw and certain bite problems. Early treatment also helps to make room for permanent teeth to come in properly, and lessen the odds of extractions in the future.
Why do orthodontic problems occur?
Why is Early Interceptive treatment recommended?
Signs your child may need early interceptive orthodontic treatment
- Early or late loss of baby teeth (your child should typically start losing teeth around age five, and will have all their permanent teeth around age 12)
- Difficulty chewing and/or biting
- Mouth breathing
- Your child continues sucking their thumb after age four
- Protruding teeth (the top teeth and the bottom teeth extend away from each other)
- Teeth that don’t come together in a normal manner or even at all
- Shifting of the jaw when your child opens or closes their mouth (crossbites)
- Crowded front teeth around age seven or eight
- An unbalanced facial appearance
- Biting the cheek or biting into the roof of the mouth
What conditions are treated by Early Interceptive Treatment
- Teeth overcrowding
- Underbites and overbites
- Misalignment of back teeth
- The unevenness of the lower and upper jaw
- Protruding teeth
- Early loss of baby teeth.
- Narrow dental arches as a result of the child sucking her thumb.
Benefits
- Creates and maintains space for adult teeth to erupt properly
- Lowers the risk of dental emergencies caused by protruding teeth
- Gently guides jaw growth for better facial symmetry
- Reduces the risk of tooth extraction
- Optimizes proper bite and jaw development
Types of Interceptive Orthodontics
- Expansion of the upper jaw to eliminate a crossbite
- Expansion of one or both jaws to create space for overly crowded teeth
- Early removal of specific baby teeth to facilitate the proper eruption of permanent teeth
Maintaining space for permanent teeth after the premature loss of a baby tooth - Reducing the protrusion of upper incisors to decrease the likelihood of fracture from trauma
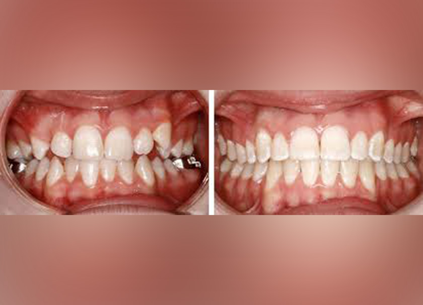
Orthodontic Braces: Before and After
Procedure For Early Interceptive Treatment
CONSULTATION
At the consultation, the orthodontist will determine if early treatment is necessary and beneficial for your child. First, the orthodontist will examine your child’s jaw, dental arches, and teeth to check for early signs of gaps, crowding, and misalignment. They will also address all oral habits like nail biting, tongue thrusting, and thumb sucking. Your orthodontist will be sure to share helpful flossing and brushing techniques to ensure good oral hygiene and a successful treatment outcome for your little one.
IMPRESSIONS AND DIGITAL IMAGING
The orthodontist will then take a series of X-rays and impressions to document your child’s facial profile as well as any tooth or bite issues to determine if extractions or removable appliances will be necessary, such as a space maintainer, palatal expander, or limited braces. Each case is unique, so while some children benefit from a device used to maintain or move teeth and jaw positions, others see better results when some baby teeth are removed.
APPLIANCE PLACEMENT
After gathering data and deciding on the best early orthodontic treatment for your child, your orthodontist will securely place a custom dental appliance into your child’s mouth. Once your child’s dental appliance is securely placed, the orthodontist will check for proper fitting to ensure maximum comfort and will review instructions for proper maintenance.
NEXT STEPS
Schedule a follow-up appointment with the child’s orthodontist every 4-8 weeks to monitor progress. Early treatment can be completed in 12 months or less, so your child can enjoy a strong, healthy smile for life.
Post Procedure Care
- Start with foods that are easy to chew and swallow
- Practice speaking by reading a book aloud until it feels comfortable to speak with the appliance
- Give acetaminophen (Tylenol) or ibuprofen (Advil or Motrin) for 2-3 days if your child is experiencing discomfort
- Rinse with salt water or apply topical ointment (as recommended) if mouth sores develop
- If the appliance becomes bent, damaged or loose, contact our office immediately so we can repair or adjust the appliance. Waiting to have the appliance fixed could affect the fit and subsequent need to refabricate the appliance.
- Avoid eating sticky foods (candy and chewing gum), popcorn, and ice
- Encourage your child NOT to push, pull, or play with the appliance with their fingers or tongue
- Keep it clean by brushing around all wires, bands, and other areas that can trap food
- Maintain recommended follow-ups so that the appliance can be inspected for any problems and we can make sure the appliance is functioning properly
FAQ's
What is interceptive ortho treatment?
What phase is interceptive orthodontics?
What is the best age for interceptive orthodontics?
Best Age to Start Orthodontic Treatment: Braces
This usually happens between the ages of 11 and 14. If treatment is needed during this period, preventive or interceptive care is a great way to take advantage of a child’s growth and guide the desired results as his or her development occurs.
What are the disadvantages of interceptive orthodontics?
However, the main disadvantage of inter- ceptive orthodontics is that there is no single universally accept- ed approach.
Why is interceptive orthodontics important?
Regain Your Happy Smile in Healthy Way
Our Accomplishments