ORTHODONTIC TREATMENTS

Self Ligating Damon

When it comes to teeth, we can set things straight

What are self-ligating Braces?

In the past, “braces” meant a mouth full of metal and elastic bands for a long time, but today, self-ligating braces offer a more comfortable and efficient treatment. 

Self-ligating braces are no different from any other type of orthodontic aligners. They work in the same way as traditional braces to straighten teeth and align the jaw.

Why should you do the procedure?

Who should get self-ligating daemons?

Whether you get self-ligating daemons can depend on factors like your specific condition of teeth, your treatment plan, and your budget.

Your orthodontist can work with you to determine whether self-ligating daemons are a good option for you.

Conditions that can be treated by this procedure

Malocclusion is the dental term for misaligned teeth that can come in nine different types: Braces are necessary when one faces one or more of the following issues:-
Overcrowding: Overcrowding is among the most common causes of adults seeking orthodontic treatment. It is caused because of the lacking space in your mouth.
Spacing: Spacing is caused due to small teeth, prolonged thumb sucking, missing teeth, and tongue thrusting. This issue occurs between two or more teeth, leading to overcrowding and impacting a child’s permanent teeth eruption process.
Open Bite: When your lower and upper front teeth don’t overlap, it causes an opening inside the mouth. This is called an open bite.
Overjet: In overjet, your top teeth protrude from your bottom teeth, resulting in chewing and speaking difficulties.
Overbite: Overlapping on lower teeth to some extent is normal, but when this takes an abnormal form, it causes overbite.
Underbite: An underbite which is also known as anterior crossbite occurs when your lower front teeth protrude far from your upper front teeth.
Crossbite: A crossbite can occur on either side of your jaw, front, or back teeth. When you suffer from a crossbite, your upper teeth bite inside your lower teeth.
Diastema: Generally known as gapping teeth, a diastema is a dental condition in which a space occurs between two adjacent teeth. These teeth are most commonly the front two teeth.
Missing Tooth: A missing tooth, also called hypodontia, is caused by improper teeth development or trauma.

Pros and Cons of Self-Ligating Braces

Pros

Cons

Benefits of self-ligating daemons

There are several potential benefits to using self-ligating daemons. These include:
Shorter orthodontist visits: Generally speaking, opening and shutting self-ligating brackets during an adjustment is less time consuming.
Easier cleaning: The absence of ligatures in self-ligating daemons may make them a little easier to clean.
Less discomfort: It’s possible that you might experience less discomfort with self-ligating daemons than with traditional braces.

Types of self-ligating daemons

The two types of self-ligating daemons are as follows:
1. Metal self-ligating daemons : Metal self-ligating daemons look just like traditional braces, in fact, you can even decorate them with colored bands.
2. Ceramic self-ligating daemons: Self-ligating clear daemons or white braces, also known as self-ligating ceramic braces are less visible for those who are concerned about how they would look with a mouth full of metal.

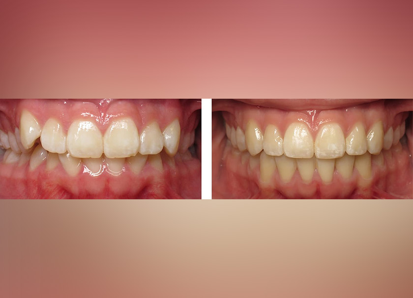
self-ligating Braces: Before and After

What is the procedure for Self Ligating Damon Braces?

While traditional metal braces need to be periodically adjusted in order for the archwire to move all the teeth in place, self-ligating braces work a bit differently. 

Self-ligating braces still depend on the pressure of an archwire to move teeth. But this wire isn’t locked in place by rubber bands. Instead, the brackets that hold the wire have built-in sliding lock mechanisms and spring-loaded doors that allow the wire to move. Special clips let the orthodontist open the brackets to remove and replace the archwire.

In passive self-ligating braces, the wire moves freely through the passive brackets with no added pressure.

Active self-ligating braces use brackets that have tiny springs that maintain a small degree of pressure on the archwire.

The archwire can move easily through the brackets and this helps self-ligating braces to naturally and comfortably guide teeth into healthy alignment without applying too much tension and friction on the teeth.

How to take care?

Are there any risks or precautions?

There are some potential risks to self-ligating daemons.
Tooth decay: Food particles can become trapped in any type of braces. This can cause plaque to build up and increase the risk of tooth decay
Reversion: If you don’t wear your retainer after you get your braces removed, it’s possible that your teeth may begin to revert to their old positions.

FAQ's

Do they need tightening?
Self-ligating daemons still require periodic adjustments. During these adjustments, your orthodontist will evaluate your progress and may also adjust or replace your archwire. Adjustments can modify the force placed on your teeth, helping them to gradually move into their new positions.
Are they comfortable or do they hurt?

Self-ligating daemons can lead to pain or discomfort. This may be particularly common after you first get them, or after you’ve had an adjustment appointment. 

Regain Your Happy Smile in Healthy Way

Be it a dental checkup, an inquiry about a dental procedure, or correcting your dental issues, we assure quality care and a happy smile with flexibility in appointment scheduling.

Our Accomplishments

Scroll to Top