ORTHODONTIC TREATMENTS

Lingual Braces

When it comes to teeth, we can set things straight

What are lingual braces?

Lingual braces, orthodontic treatment appliances are placed behind the teeth (by the tongue and palate), rather than in front, and therefore offer a great cosmetic alternative for those who want their teeth straightened, without the braces showing.

Common reasons for choosing lingual braces

You want to straighten your teeth while maintaining a professional look.

Who needs lingual braces?

What Can Lingual Braces Fix?

Pros And Cons Of lingual braces

Pros

Cons

Benefits of Lingual Braces

Invisibility : The parts that make up braces — the brackets, wires, and elastic bands — are all mounted on the back of your teeth. Other people can’t see them unless you open your mouth wide.‌
Possibly less pain :  Studies differ on this idea but seem to favor lingual braces.
Fewer lifestyle changes :  Wearing braces of any type will mean some changes at first. You may have to first eat soft foods, learn how to clean your braces, and more. But generally, lingual braces may mean fewer lifestyle changes than conventional, labial braces.
 Custom design : Orthodontists can customize lingual braces with computer-aided design and computer-aided manufacturing (CAD/CAM) software.

Types of lingual braces

There are a few different types of lingual or inside braces. They are:
1. Customized lingual : Customized to fit each tooth, these braces behind teeth are flat, precise and provide comfort. They are custom-fitted to maximize efficiency and correct your teeth in a smooth manner.
2. Short-term lingual braces : A short-term bonded lingual retainer focuses on the aesthetics of your smile and is fixed to the first 6-8 teeth. They are very similar to other lingual braces types however they only require a short time to enhance your smile.
3. Self-ligating lingual braces : This type of hidden braces are self-ligating, which means that the wires naturally adjust to the teeth movement, which reduces dental clinic visits for tightening every few weeks.

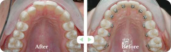
lingual braces: Before and After

During the Procedure

The process for lingual braces involves taking an impression of the teeth, which is then sent to a dental laboratory and used to create customized brackets. The process takes about six weeks and, once complete, allows the orthodontist to use a specific process to cement the braces onto the back surfaces of your teeth.
Like traditional braces, this product works by applying gentle yet continuous pressure on the teeth, to help them slowly shift into proper position. The treatment can take anywhere from 18-36 months, depending on the severity of a patient’s overcrowding of teeth or their bite.

What can I expect when wearing lingual braces?

During the initial period of the braces being attached to the back of the teeth, there may be a little pain and discomfort for a little longer than with the other fitted braces. Good oral hygiene is important, especially when wearing lingual braces because food particles may become trapped in pockets at the back of teeth. Teeth should be brushed following every meal.

How to take care after the procedure?

Risks With Lingual Braces

FAQ's

What makes lingual braces so unique?
Lingual Braces are perfect for those looking to fix their smile, in a more low-key, discreet way. Ideal for those who are self-conscious about wearing ordinary, on show braces, there really is nothing else like them in the orthodontic market. Lingual Braces ensure that nobody has to know about your private journey to the teeth you’ve always dreamed of.
Do lingual braces work for everyone?
Lingual braces are very inclusive and are able to cater for a very expansive range of patients, from 13-year olds to more mature adults later on in their lives. After an examination of your teeth and a discussion regarding the type of treatment you will require, your dentist will assist you with your lingual braces, and get you on the road to loving your smile.
How will lingual braces improve your life?

Being completely one of a kind and original in the braces market, there are countless benefits of wearing lingual braces. Personalized to fit your own unique mouth shape, it has never been easier to find an orthodontic method that improves your smile, whilst being comfortable, effective and practical at the same time. 

What do lingual braces consist of?
Similar to ordinary braces, lingual braces act in the same way through the use of tiny metal brackets and archwires. They also mirror normal braces in the sense that a constant, small amount of pressure is applied to your teeth. However, the significant difference between them is that only lingual braces are invisible.
How long is the journey for lingual braces?
With no teeth being the same, the range of lingual braces treatment time varies from 6 months to 3 years, depending on the patient’s needs. Your own customized plan will be discussed with you at your consultation, and you will be given a timeframe of how long you will need to wear your lingual braces to achieve the desired outcome.
Is speech altered by lingual braces?
Although some minimal changes can sometimes be detected in speech within the first few days of wearing lingual braces, this usually disappears as soon as you become accustomed to wearing them.
Will my tooth brushing routine remain the same whilst wearing lingual braces?
As always, healthy teeth that you are proud of require some maintenance and care. This will be discussed with you at your consultation, along with some tips and tricks on how to take more care of your oral hygiene.
Will my food choices be limited by wearing lingual braces?
Like with all things health-related, sometimes we need to limit certain foods in order to achieve our desired appearance. Examples of things that you will need to avoid when wearing lingual braces include sticky and hard foods such as chewing gum and nuts, along with objects that are likely to get stuck, such as popcorn.

Regain Your Happy Smile in Healthy Way

Be it a dental checkup, an inquiry about a dental procedure, or correcting your dental issues, we assure quality care and a happy smile with flexibility in appointment scheduling.

Our Accomplishments

Scroll to Top