ORTHODONTIC TREATMENTS
Metal Braces
When it comes to teeth, we can set things straight
What Are Metal Braces?
Metal braces are orthodontic appliances to correct your misaligned teeth or malocclusion. It is made with high-grade stainless-steel brackets, each held together with nontoxic dental cement and a metal archwire. This wire follows the curvature of your jaw and is stabilized by a bracket that wraps around the back molar. The archwire and brackets work in tandem with rubber ligature elastic bands (usually interwoven into the brackets) to gradually straighten the teeth into place.
Causes Of Misaligned Teeth
- Childhood habits such as thumb sucking, tongue thrusting, pacifier use beyond age 3, and prolonged use of a bottle
- Extra teeth, lost teeth, impacted teeth, or abnormally shaped teeth
- Ill-fitting dental fillings, crowns, dental appliances, retainers, or braces
- Misalignment of jaw fractures after a severe injury
- Tumors of the mouth and jaw
Signs You Need Braces
The signs that an adult needs braces can vary according to age and overall dental health.
Signs that can indicate you need braces to include:
- Teeth that are visibly crooked or crowded
- Difficulty flossing between and brushing around crooked teeth
- Frequently biting your tongue or cutting your tongue on your teeth
- Teeth that don’t close over each other properly when your mouth is at rest
- Difficulty pronouncing certain sounds due to your tongue’s position under your teeth
- Jaws that click or make noises when you chew or first wake up
- Stress or fatigue on your jawline after chewing food
Who Needs The Procedure?
Pros And Cons Of Pits and Fissure Sealants
Pros
Cons
- Metal braces are better at handling extreme misalignments and overcrowding than alternative orthodontic procedures.
- Metal braces are typically the most cost-effective form of orthodontic treatment on the market.
- The brackets and elastics can be colored and customized, which may be appealing to younger patients.
- Since metal braces are fixed into place, there is less risk of them being lost or contaminated.
- Metal braces are more visible than ceramic braces and clear braces, which could negatively impact the patient’s self-esteem.
- Patients wearing metal braces will have to avoid certain foods that can potentially damage the archwire.
- While great innovations have been made to reduce discomfort, it’s not uncommon to experience pain and soreness through the first week of wearing metal braces, and a little tightness after each adjustment.
- Patients who have a tight schedule may have a difficult time keeping up with monthly follow-up appointments.
- Metal braces cannot be removed or adjusted at your leisure — all of that must be done by an experienced dentist. Wearing them 24/7 potentially entails 24/7 complications with brushing your teeth, flossing between your teeth, and eating certain foods.
- Metal braces require more frequent brushing and maintenance.
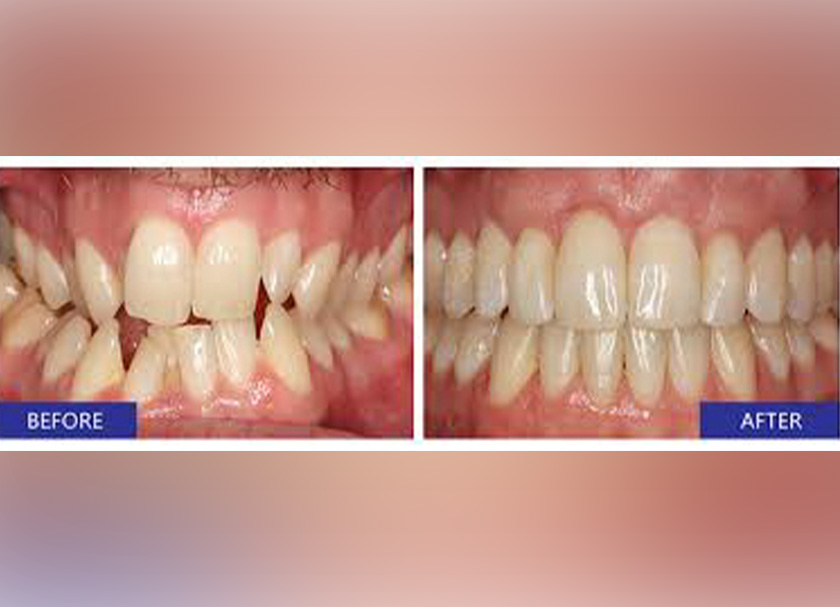
Metal Braces: Before and After
Initial Consultation
During the initial consultation, our orthodontists will take a quick look at your teeth using x-rays and may even take some impressions.
The dentist will also take some photos of your face, mouth, and smile. This helps us better determine how long your treatment may take and prepare a treatment plan. Also, it is fun to look back at the photos after your braces come off!
Metal Braces Placement
- First, our orthodontist will clean the teeth to prevent any bacteria from being trapped by the brackets.
- Next, metal brackets are attached to each tooth using bonding glue. Then, a wire is placed through the brackets.
- Finally, the wire is secured by rubber bands. Some patients like to express themselves through color, while others like simple, clear bands.
- You may experience discomfort following the placement of your braces. This is common, and the slight pain can last a few days.
- Cold and soft foods like ice cream, yogurt, or smoothies may offer some relief.
- Over-the-counter pain medicine can also help alleviate the discomfort, while orthodontic wax will help prevent scratching or irritation.
Maintenance and Adjustments
You’ll visit our office about once every month for a checkup and to have your braces adjusted. Your teeth are realigning, We’ll adjust your wires and replace your bands. These appointments are only about 30 minutes.
During this time, practice proper dental hygiene. you should be brushing and flossing at least twice per day, You should stay away from hard or crunchy foods that can break your braces.
Taking Care For Metal Braces
Removal Of Metal Braces
Taking Care To Maintain Results After Metal Braces
FAQ's
What is the right age for braces?
What are the different types of braces?
The different types of braces are:-
- Metal wired braces
- Clear braces
- Gold-plated
- stainless
- steel braces
- Lingual braces
- Titanium braces
- Progressive, clear removable aligners ( Invisalign, Clear Correct)
- Smart brackets
- A-braces
Are braces painful?
How long does one need to wear braces?
Is removal of teeth necessary in braces treatment?
Regain Your Happy Smile in Healthy Way
Our Accomplishments