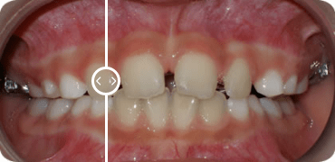
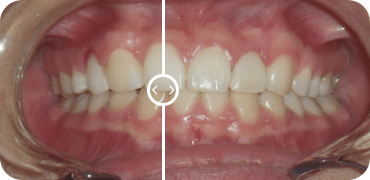
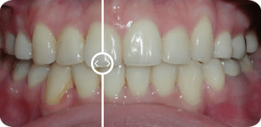
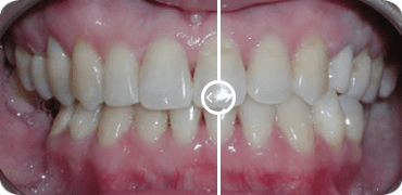
Please enjoy some of our amazing smile
transformations.
Move the slider side-to-side to see the
amazing before and after
Regain Your Happy Smile in
Healthy Way
Be it a dental checkup, an inquiry about a dental procedure, or correcting your dental issues, we assure quality care and a happy smile with flexibility in appointment scheduling.